Porque informar a cor do substrato

 

Sabe porque a nossa equipe de triagem sempre solicita a informação sobre a cor do substrato?


Se você está fazendo uma faceta ou coroa de dissilicato (emax), a cor do substrato irá influenciar no resultado estético final.

Nosso objetivo é sempre alcançar o melhor resultado, não é verdade?


caso-03.png

VEJA ESTE CASO


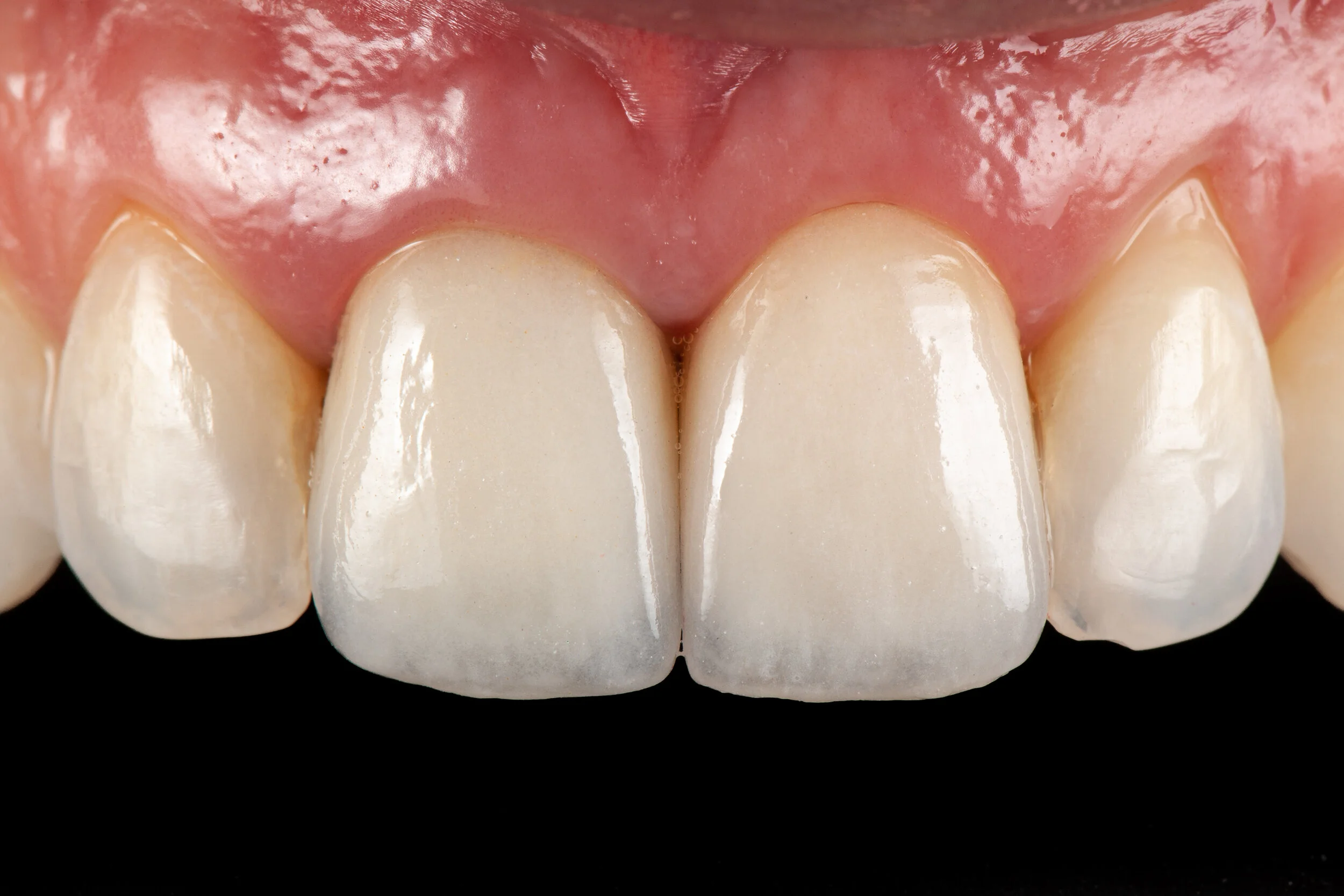
A imagem abaixo se refere a um caso de duas coroas de dissilicato (emax) nos elementos 11 e 21:

Provavelmente deve ter percebido que o elemento 11 não apresenta o mesmo resultado estético do 21.

Você gostou do resultado?


Provavelmente deve ter percebido que o elemento 11 não apresenta o mesmo resultado estético do 21.


sem título-88.jpg

Nossos técnicos seguiram as informações da cor final informada pelo dentista, mas como pode ser observado, um dos dentes possui uma cor de substrato bastante diferente do outro.


icon-photo.png

Quando o Dentista nos informa por meio de fotografias que o substrato é um pino metálico ou um dente escurecido, está nos ajudando na escolha do material a ser utilizado para “esconder esse fundo escuro”.


Outra opção seria alterar a cor do substrato, isso facilitaria todo o processo, inclusive a cimentação.

caso1.png
sem título-19.jpg

Após realizados os procedimentos de adesão, resina composta fotopolimerizável pode ser empregada para mascarar um fundo escuro.


 

DICA

sem título-25.jpg
color-photo-04.png

Registre a cor do substrato com uma fotografia e nos envie.

Isso nos permite te enviar um trabalho com maiores chances de acertar a cor.


 

RESULTADO

sem título-135.jpg

Uma das facilidades geradas pela técnica de igualar a cor do subtrato é o fato de não precisar usar cimentos diferentes para mascarar alterações entre elementos.

sem título-132.jpg
logo-black-oralarte.png

Cartilha Científica

nº 1

Porque informar a cor do substrato

-

COORDENAÇÃO e fotos:
OSÉIAS EVANGELISTA - @OSEIAS80

SUPORTE CIENTÍFICO:
MARCO AURÉLIO DE CARVALHO - @DRMARCO_CARVALHO

©
Todos os direitos reservados.
Proibida a reprodução total ou parcial deste conteúdo sem prévia autorização formal.